Malaria mosquitos y aves silvestres

Malaria  mosquitos y aves silvestres

 

Ningún ser vivo se ve libre de sufrir el ataque de un parásito a lo largo de su vida; es más, algunos parásitos son parasitados por otros y éstos, a su vez, por otros, etc. Aunque en un principio, los científicos postulaban que el parasitismo era un proceso evolutivamente benigno, hoy no se duda del impacto severo que puede llegar a tener en las poblaciones de hospedadores. Lo cierto es que entre el parásito y el hospedador se establece una carrera coevolutiva, similar a una carrera de armamentos, de tal modo que a cada paso evolutivo que da uno responde el otro, con lo que ninguno de ellos puede proclamarse ganador.


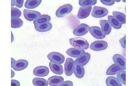
Las aves silvestres también sufren la malaria, aunque en este caso los parásitos que la causan, que están emparentados con los que originan la malaria en humanos, no poseen la capacidad de infectarnos. Los parásitos de la malaria aviar necesitan un vector para transmitir la enfermedad entre las aves hospedadoras. Los jejenes, unos mosquitos del género Culicoides, son los que actúan como vector. Cuando el mosquito toma sangre de un ave infectada, el parásito infecta al insecto vector que, a su vez, transmitirá el parásito a un nuevo pájaro cuando succione su sangre. El mosquito también es un hospedador de la malaria, ya que el parásito se desarrolla en él y pasa desde el intestino hasta las glándulas salivares. Por ello, la estrategia evolutiva óptima para el parásito consiste en hacer el menor daño posible al mosquito, ya que su objetivo es conseguir transmitirse a otro pájaro.


Las técnicas moleculares han representado un punto de inflexión en el conocimiento de los parásitos y de las relaciones que mantienen con sus especies hospedadoras. Uno de los aspectos más atractivos del parasitismo es el fenómeno de especificidad que se da entre parásito y hospedador y que es el resultado de la adaptación del parásito al hospedador a lo largo del tiempo que dura su relación simbiótica.


En el estudio dirigido por Santiago Merino, investigador del departamento de Ecología Evolutiva del Museo Nacional de Ciencias Naturales del CSIC, y en el que han participado científicos de este centro y de la Universidad de Alcalá, se han analizado las complejas relaciones coevolutivas entre parásitos de la malaria aviar, de los géneros Haemoproteus y Plasmodium, y sus vectores. Josué Martínez de la Puente que realizó su tesis doctoral en el MNCN nos cuenta 'A pesar de su importancia, hasta el momento no se habían realizado estudios de esta envergadura para comprobar el papel que podrían jugar los jejenes en la transmisión de los parásitos de la malaria aviar en condiciones naturales. En las aves silvestres, los parásitos sanguíneos juegan un importante papel afectando su estado de salud, fecundidad y probabilidad de supervivencia'.

 

La investigación ha permitido la identificación de 15 linajes de parásitos sanguíneos de los géneros Haemoproteus y Plasmodium, en 7 especies de aves forestales y diferentes especies de vectores. Los parásitos del género Plasmodium parecen tener más facilidad para 'saltar' de una especie a otra ya que afectaron a un amplio rango de aves, por lo que pueden considerarse generalistas. Sin embargo, los pertenecientes al género Haemoproteus fueron más selectivos, infectando a especies que están emparentadas filogenéticamente. Además, al analizar los parásitos presentes en los mosquitos se ha identificado una compleja relación coevolutiva entre las líneas genéticas de los insectos y los parásitos sanguíneos del género Haemoproteus. Sucede que los parásitos del género Plasmodium presentaron únicamente relaciones generalistas con los insectos; por el contrario, en el caso de Haemoproteus, se encontraron relaciones significativas entre algunas líneas genéticas de parásitos y de insectos, sugiriendo una estrecha relación coevolutiva entre ellas.

 

Referencia bibliográfica:
Martínez-de la Puente, J., Martínez, J., Rivero-de Aguilar, J., Herrero, J., Merino, S. 2011. On the specificity of avian blood parasites: revealing specific and generalist relationships between haemosporidians and biting midges. Molecular Ecology. doi: 10.1111/j.1365-294X.2011.05136.x

 

Fecha

Lunes, 13 Junio 2011

Autor

Carmen Martínez